‘Nuestros resultados muestran que las tasas de supervivencia de Zenith son comparables con las de la literatura para otros implantes y en el National Joint Registry (NJR)’
NJR #NationalJointRegistry #Implante
Total ankle arthroplasty | The Bone & Joint Journal (boneandjoint.org.uk)

Artroplastia total de tobillo
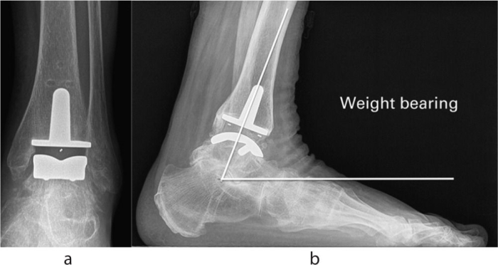
Presentamos los resultados a medio plazo de una serie consecutiva de 118 artroplastias totales de tobillo (TAA) Zenith de un único centro que no fue diseñador.
Nuestros resultados muestran que las tasas de supervivencia de Zenith son comparables con las de la literatura para otros implantes y en el National Joint Registry (NJR). La satisfacción general del paciente fue alta, al igual que los resultados funcionales. Sin embargo, los datos destacan las posibles complicaciones asociadas con esta cirugía. Los autores creen que estas cifras apoyan la artroplastia de tobillo como una opción en el tratamiento de la artritis de tobillo.
https://pubmed.ncbi.nlm.nih.gov/33789488/
https://online.boneandjoint.org.uk/doi/abs/10.1302/0301-620X.103B4.BJJ-2020-0758.R1
Clough TM, Ring J. Total ankle arthroplasty. Bone Joint J. 2021 Apr;103-B(4):696-703. doi: 10.1302/0301-620X.103B4.BJJ-2020-0758.R1. PMID: 33789488.
© 2021 The British Editorial Society of Bone & Joint Surgery

Importa los datos de mi consultorio a tu celular en un solo click!!!



