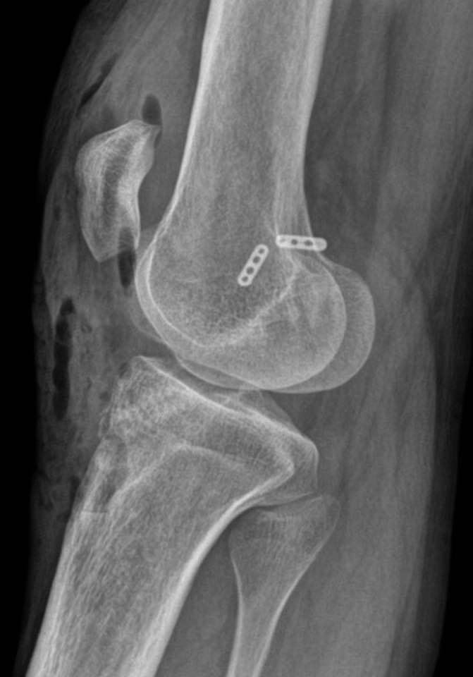
Mala posición, fácil revisión. Reconstrucción de LCA en falla de plastia primaria, utilizando autoinjerto de HTH con técnica clásica, respetando trayecto del nervio Safeno. Tenosuspension femoral con BTB tighrope de Arthrex* más interferencia tibial con tornillo biocompuesto 10 mm de Arthrex*.
Continue reading- 222 225 7681
- Urgencias: 2222996483
- consultorio.935@hotmail.com
- Hospital Ángeles Puebla | Torre 1, Consultorio 1035 Piso 10
- Aviso de funcionamiento y publicidad de la página web: Aviso Cofepris: 2421052002A00137

